Invisalign
This discreet orthodontic technique uses a series of custom-made, almost invisible aligners to gradually move crooked, gappy or crowded teeth to an improved position. It is becoming a very popular method for adults of all ages to achieve a nicely aligned dental arch and beautiful smile. It is mainly a cosmetic benefit rather than a treatment for more serious issues with the occlusion (bite).
These innovative aligners can also be taken out, so you can maintain your oral hygiene as normal, eat whatever you choose and remove them for special occasions.
Benefits
- Almost invisible
- Removable
- Custom-made
- Comfortable
Treatment Steps
- If you are a suitable candidate for this adult-friendly treatment, we take impressions and photos, and collect other information about your teeth. We take a 3D scan of your teeth using our state of the art iTero scanner, at that very same appointment we are able to show you what your teeth will look like straight. We then use special 3D technology to create a personalised plan, which shows how your teeth will move and also how they will look after treatment.
- When the aligners are ready, you will wear a different one every one to two weeks until the carefully controlled force shifts your teeth to a better position. You may feel minor discomfort when a new aligner is fitted but this is usually just a feeling of pressure and a good indicator that the treatment is working.
- Treatment times will vary depending on your individual issue, but most cases are completed in 6-12 months. As the aligners only work while you are actually wearing them, we recommend they are kept in place for 22–24 hours per day.
Aftercare
Following treatment, as with all orthodontic methods, you will need to wear a retainer to stop your teeth moving back to their former position.
Adult orthodontics:
This is becoming much more common in the UK. Cases may be treatable with Invisalign or require referral to specialist orthodontic services. A very wide range of treatments are possible and your dentist at HDS will make the initial assessment and get you on the right path with the most appropriate specialists. We have long-standing and close relationships with the most respected specialists in this field.
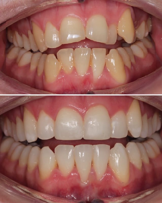
Before and After Treatment





